インビザライン矯正 - 2年4ヶ月目
インビザライン矯正を始めて早、2年以上…。
ついに、ついに終わりました〜\(^o^)/💓



マウスピース…
めんどくさかった〜〜〜😭😭😭
まだ今から保定期間ありますが…( ̄◇ ̄;)
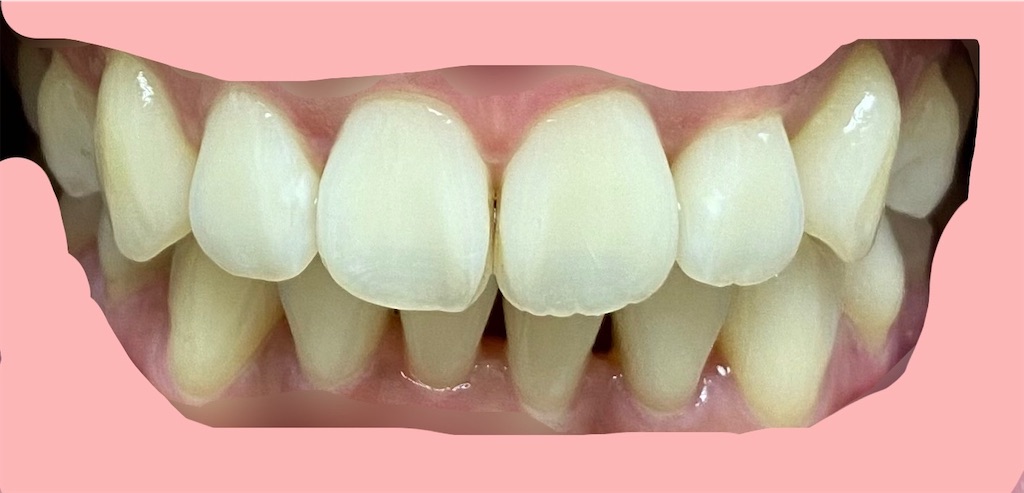
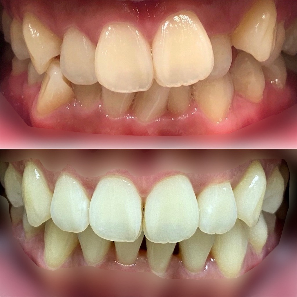
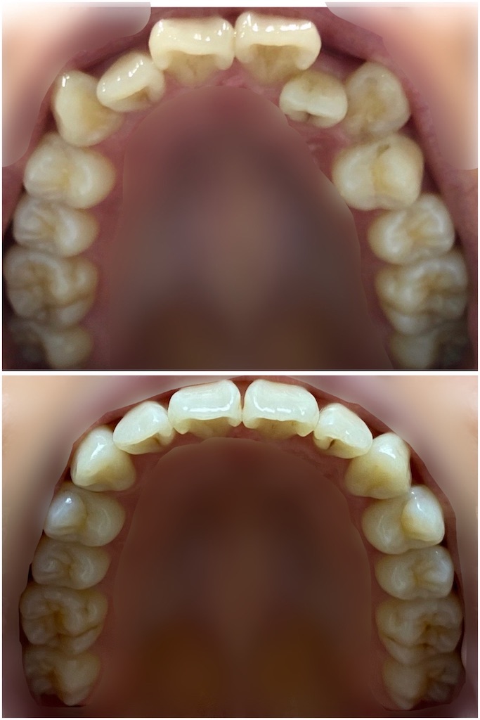
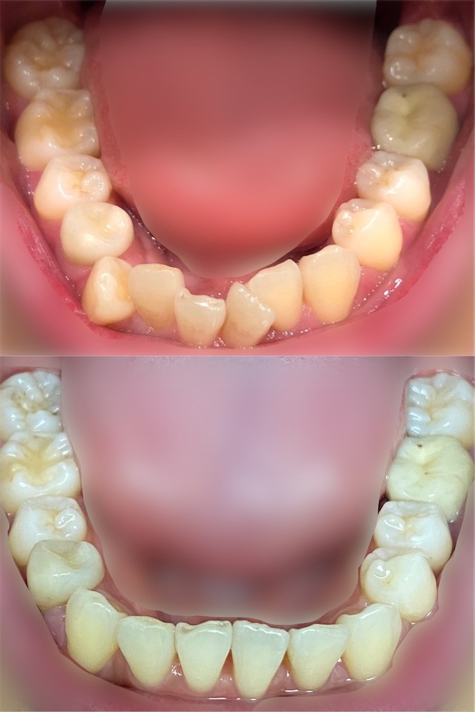
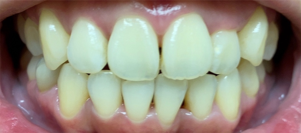
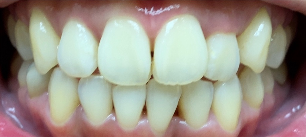
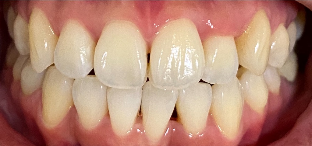
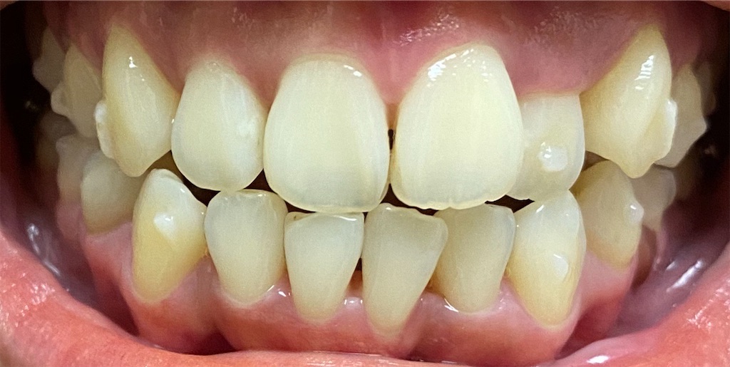
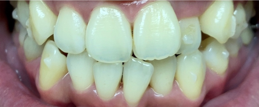
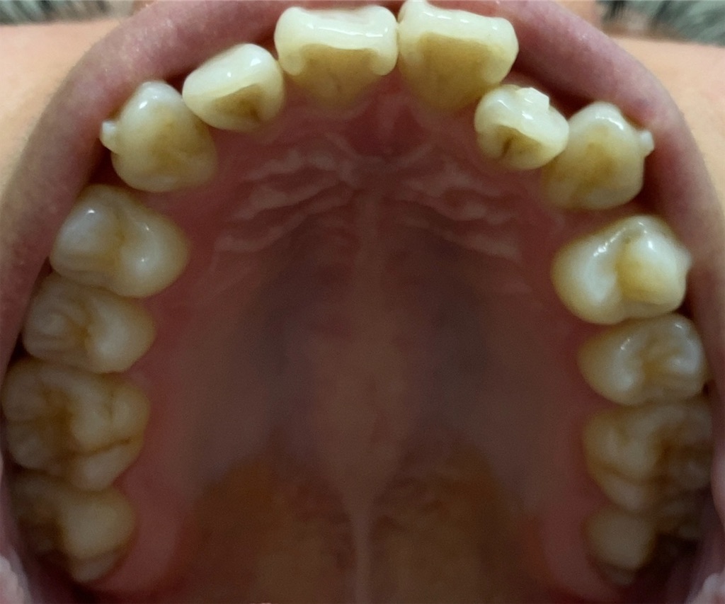
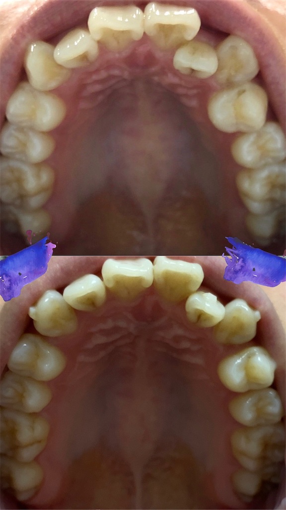
ビフォーアフターはと言うと、
↓



かなり綺麗になりました(*^◯^*)
口元は…

前歯かなり歪んでましたね😂笑
終わった感想としては、
🌟良かった点
◎歯が磨きやすくなった
◎笑った時の見た目が綺麗になった
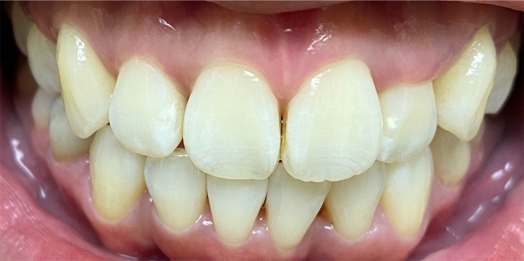
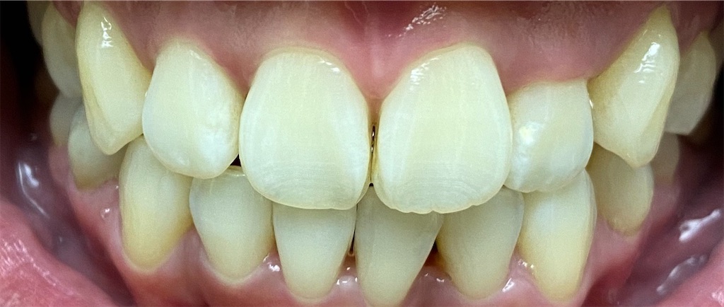
💀悪かった点
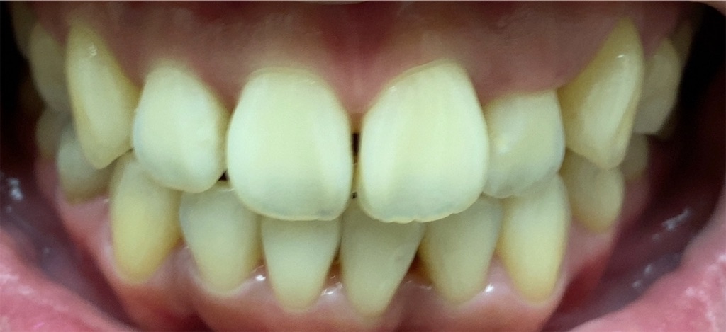
◎ブラックトライアングルがかなり出来てしまった
◎前歯の隙間がちょっと気になる
個人的には上記でしょうか🤪
前歯の隙間は交渉してみたのですが、歯の形的に難しいとの事でした😭
仮にやるとしたらまた10枚以上かかるとかで、また1年くらいかかるとの事だったので断念しました😂
そして、ブラックトライアングルについては、ある程度は覚悟してたものの、実際なってみると嫌です(T-T)笑
なので、保定期間が終わったら歯茎の移植を探してみようかな〜と思っております❗️
保定期間は矯正期間と同じだけあるそうです🧐
費用は下記にまとめました🌟
★費用まとめ★
⚫︎精密検査・診断 … 21,600円
⚫︎親知らず上2本難抜歯合計 … 7,430円
⚫︎インビザライン矯正費用(2回払い)… 842,400円
⚫︎リファインメント…22,000円×1回
⚫︎チューイー…660円×8回?=2,400円
(チューイー買った回数忘れた…)
⚪︎マウスピースの枚数合計…74枚
★総合計 … 898,620円
でした❗️
100万円はいかなかったです😎💴笑
長かった矯正ですが、結果的には思い切ってやって良かったです😆🌸
歯並びコンプレックスでしたしね😭
歯医者によってはリファインメントの費用が必要ない所もあるので、矯正を考えてる方は色々探してみてもいいかもです😌
以上、29歳のインビザライン体験記でした〜
インビザライン矯正 - 2年1ヶ月目
インビザライン矯正もついに2年目に突入!
新しくリファインメントしてから20枚目です!



今日は歯のクリーニングをしてもらいました🦷✨
奥歯が茶渋で黒くなってて、虫歯かと思ってたんですが、虫歯じゃなくて良かった〜🤗
後もう11枚❗️
終わったら歯茎を移植したいな〜
報告以上❗️
インビザライン矯正 - 1年10ヶ月目
インビザライン矯正を始めて1年と10ヶ月目。
新しく作り直してから10枚目に突入しました❗️




ゴムかけが嫌いです…👊
今回はまだ奥歯なので変化はあんまりありません〜
アタッチメントにステイン汚れが着くので早く取りたいな〜😭
以上経過報告でした!
インビザライン矯正 - 1年7ヶ月目
インビザライン矯正開始から1年7ヶ月目!
今日は作り直しをしてたマウスピースの受け取りでした!
枚数はなんと…
29枚😨!!!
めっちゃ増えとる…😂
せっかくもう終われる!と思ってたのに…😭
そして…



またアタッチメント…( ̄◇ ̄;)
しかも下の前歯以外フル装備…Σ(゚д゚lll)
さらに、ゴム掛け再始動…。
まだまだ道のりは長いな〜😢
頑張ろー😤
ホームホワイトニング
インビザライン矯正ですが、マウスピースがあるのでついでにホームホワイトニングも始めてみることにしました!
ので毎日記録をつけて行こうと思います!
使ったのは↓

ハイライト シェードアップ ジェル 1箱2本入 松風
[楽天] #Rakutenichiba
https://item.rakuten.co.jp/yuzawakikaku/y052964-000-000/
☝️楽天で売ってたので買ってみました!

↑スタート時点
結構黄ばんでいます…。

↑1回目
1回で黄ばみが少し取れた気がする!

↑2回目
だんだん白くなってるような、なってないような…。

↑3回目
2回目との差はあまり感じません。

↑4回目
ちょっとまだらになってきました😥

↑5回目
ホワイトニングスポットがちらほら…。
ですが大分黄ばみがマシになりました!

↑6回目
徐々に綺麗になってる気がします❗️

↑7回目
すごい白い!とまでは行きませんが、標準の歯の色くらいになってきました。
2020/11/5
矯正でアタッチメントがまた始まったのでホワイトニングは一旦終了します〜
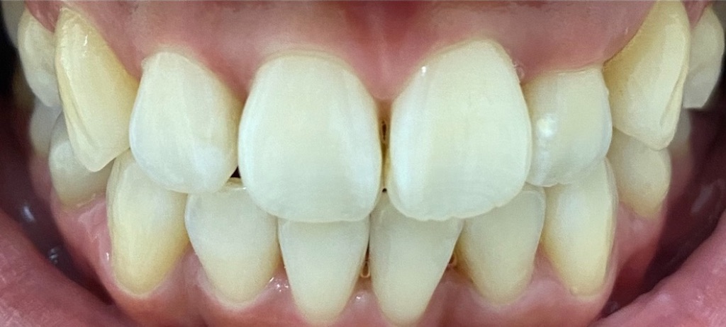
↓ビフォー


↑アフター
ホワイトスポットはできますが…
自宅で出来るホワイトニングなので、この効果は良いんじゃないでしょうか❗️
ただ感覚が短いと、歯がすごく沁みます😭
(しばらくすると戻ります。)
以上自宅ホワイトニングでした〜
インビザライン矯正 - 1年3ヶ月目 - 448日目
インビザライン矯正448日目❗️
枚数で言うと45枚目です。
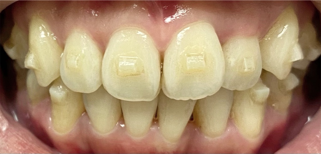
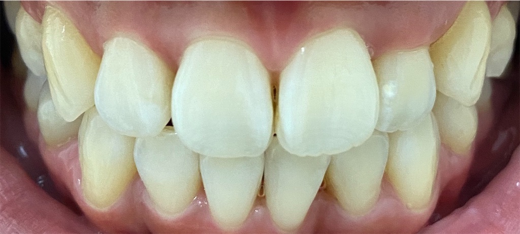
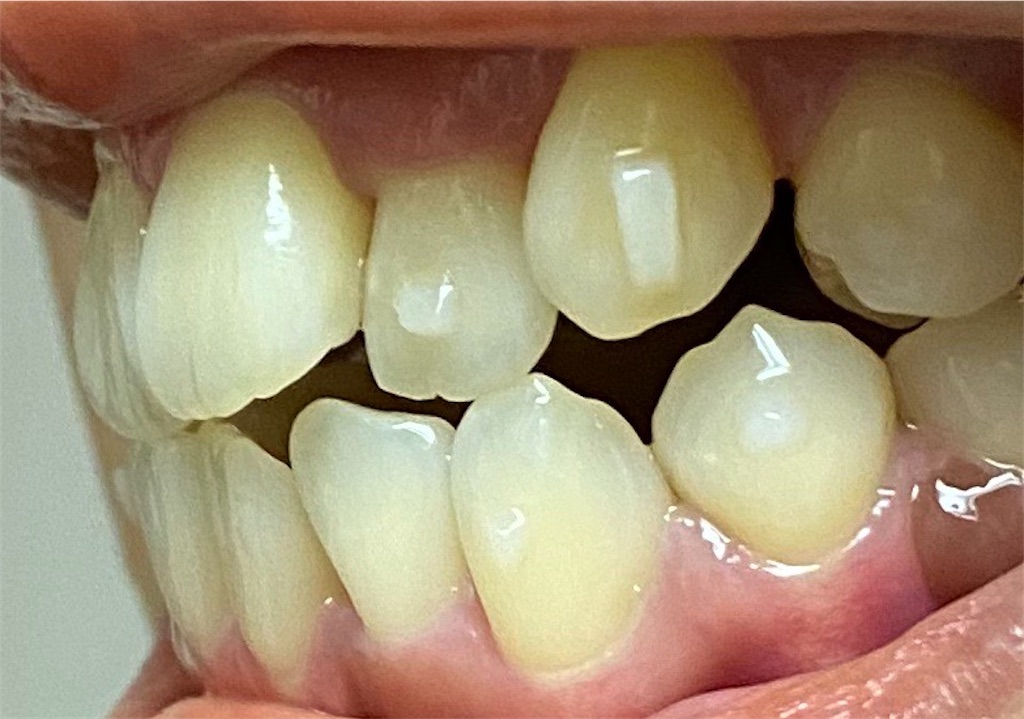
今日は矯正歯科に行ってきたのですが、噛み合わせが合ってないらしく…
次回からまた作り直しをするそうです😂❗️
なんか気になってはいましたが、前歯が下の前歯とぶつかって奥歯が浮いてたんですよねー…。
下写真です。



完全に前歯がかち合って奥歯が浮いております❗️
気になってましたよ〜。
なので次回はまた3Dの歯形を撮って、またマウスピースを作り直すそうです。
もうちょっとで終わると思ってたんだけど、ちょっと悲しい😭
ですが嬉しいことに片方のゴム掛けが終わりました❗️
久しぶりに片方無くなるだけでもなんだか楽になった気分です😌
ではでは。
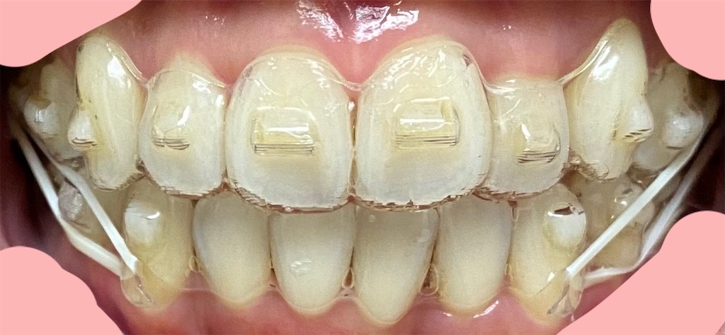
インビザライン矯正 - 1年2ヶ月目 - 428日目
インビザライン矯正開始から1年と2ヶ月目!
枚数は41枚目です。
私は全部で53枚なので、
上手くいけば後12枚なので120日!
長かった〜😭
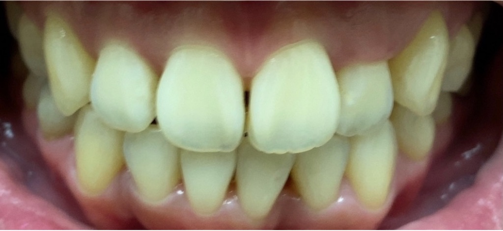
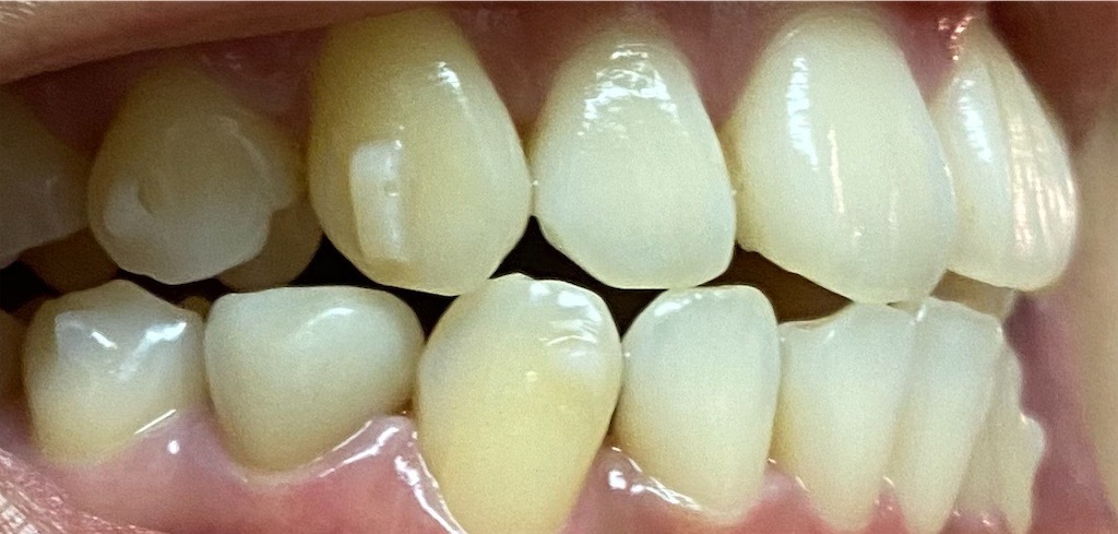
歯はと言うと、
⬇︎



前歯が動き出して少しずつ印象が変わってきました!
最初の頃のと比べると…



大分動いたな〜と言う感じです😳❗️
ただ見比べて思うのが、
歯茎が下がってる〜😭
これはあるかもと覚悟してましたが…
実際見ると悲しいですね😢
まぁ、下の歯の歯茎は笑ってもあまり見えないので、あまり気にしないようにしようかな…(´ω`)
あと残り12枚❗️
頑張ろ〜